Intervenție Endovasculară Unică la Spitalul Clinic Județean de Urgență Constanța
O echipă medicală a Spitalului Clinic Județean de Urgență Constanța a efectuat, pentru prima dată, o intervenție endovasculară complexă destinată să oprească o hemoragie pulmonară severă. Dr. Camer Salim, directorul medical al unității, a subliniat semnificația acestui caz, oferind felicitări medicilor Alex Timoftei și Radu Andrei Baz pentru profesionalismul și dedicarea lor.
Această realizare evidențiază progresul echipei medicale și capacitatea de a oferi tratamente moderne, minim invazive, pacienților din întreaga regiune. Pacientul, un bărbat de 63 de ani, a fost internat în secția de Pneumologie cu hemoptizie persistentă. Ulterior, acesta a fost transferat la Compartimentul de Radiologie Intervențională pentru a beneficia de tratament endovascular.
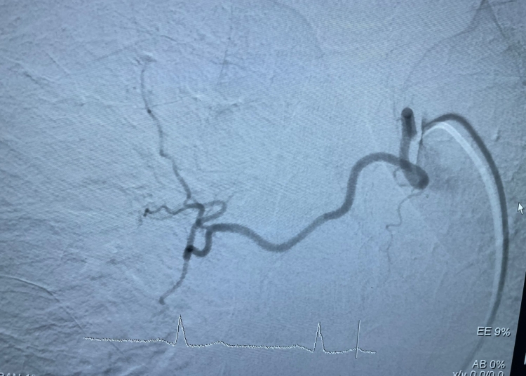
Investigația prin tomografie computerizată a relevat un focar subsegmentar de hemoragie alveolară, situat în apropierea unei formațiuni tisulare pulmonare din segmentul posterior al lobului superior drept. După evaluare, medicii au hotărât să efectueze o embolizare cu particule a arterei bronșice drepte, o procedură minim invazivă care implică blocarea fluxului de sânge către zona afectată pentru a opri sângerarea.
Intervenția s-a dovedit a fi un succes, pacientul înregistrând o ameliorare semnificativă a hemoptiziei în zilele următoare. Această realizare medicală întărește poziția Spitalului Clinic Județean de Urgență Constanța ca un centru de referință regional în domeniul radiologiei intervenționale, subliniind importanța colaborării între specialități precum pneumologia, imagistica și chirurgia endovasculară.
